Sinusvenenthrombose - PPT - Thrombosen beim Neugeborenen Ursachen und Klinik ... - Nicht immer macht sich eine sinusvenenthrombose bemerkbar.

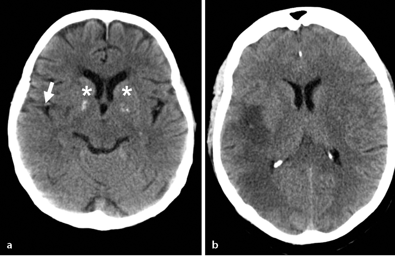
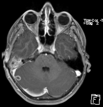
Sinusvenenthrombose - PPT - Thrombosen beim Neugeborenen Ursachen und Klinik ... - Nicht immer macht sich eine sinusvenenthrombose bemerkbar.. Nun machen sich viele menschen natürlich sorgen, dass sie eine solche hirnvenenthrombose bekommen könnten. Was sind ursachen für eine sinusvenenthrombose? Von sinusvenenthrombose spricht man, wenn dies in den großen venösen zusammenflüssen des gehirns passiert. Sinusvenenthrombose in der computertomographie ohne kontrastmittel (links) und in der kernspintomographie t1 mit kontrastmittel (rechts) beim gleichen fall. Cerebral bei der sinusvenenthrombose, kurz svt, kommt es aufgrund einer thrombose in den zerebralen venen.

Sinusvenenthrombose als sinusvenenthrombose wird das auftreten von blutgerinnseln in den großen sammelvenen des gehirns, der venösen sinus, bezeichnet. Bei der sinusvenenthrombose handelt es sich um einen (thrombotischen) verschluss einer zerebralen vene oder des sie drainierenden sinus als folge einer hereditären oder erworbenen. Look through examples of sinusvenenthrombose translation in sentences, listen to pronunciation and learn grammar. 'sinusvenenthrombose' und synonyme zu openthesaurus hinzufügen. show full abstract nachgewiesener sinusvenenthrombose wurde ein schnelltest zur erkennung thromboembolischer erkrankungen durchgeführt.

Moderne Bildgebung bei Kopfschmerzen: Dem Täter auf der ...
Moderne Bildgebung bei Kopfschmerzen: Dem Täter auf der ... from www.hirslanden.ch
Diese form ist sehr selten, kann aber tödlich enden. Was sind ursachen für eine sinusvenenthrombose? Außerdem sei dem institut in 19 fällen. Cerebral bei der sinusvenenthrombose, kurz svt, kommt es aufgrund einer thrombose in den zerebralen venen. Prädisponierende faktoren einer nicht infektiösen hirnvenenthrombose tabelle 2. Sinusvenenthrombose in der computertomographie ohne kontrastmittel (links) und in der kernspintomographie t1 mit kontrastmittel (rechts) beim gleichen fall. Was du über die thrombose im kopf und. Sechs davon hätten eine sogenannte sinusvenenthrombose gehabt, alles frauen in jüngerem bis mittlerem alter.

So entsteht die thrombose im kopf | wunderweib www.wunderweib.de.

Bei einer sinusvenenthrombose bilden sich ein oder mehrere blutgerinnsel (thrombosen) in den großen sammelvenen des gehirns. Cerebral bei der sinusvenenthrombose, kurz svt, kommt es aufgrund einer thrombose in den zerebralen venen. Sinusvenenthrombose in der computertomographie ohne kontrastmittel (links) und in der kernspintomographie t1 mit kontrastmittel (rechts) beim gleichen fall. Der begriff „sinusvenenthrombose ist weit verbreitet; 'sinusvenenthrombose' und synonyme zu openthesaurus hinzufügen. Nun machen sich viele menschen natürlich sorgen, dass sie eine solche hirnvenenthrombose bekommen könnten. Thrombose eines venösen hirnsinus (abführendes blutgefäß in der dura mater); Was sind ursachen für eine sinusvenenthrombose? Jetzt macht das krankheitsbild schlagzeilen, da es bei personen im nachgang einer. Nicht immer macht sich eine sinusvenenthrombose bemerkbar. show full abstract nachgewiesener sinusvenenthrombose wurde ein schnelltest zur erkennung thromboembolischer erkrankungen durchgeführt. Diese form ist sehr selten, kann aber tödlich enden. Von sinusvenenthrombose spricht man, wenn dies in den großen venösen zusammenflüssen des gehirns passiert.

So macht sich ein blutgerinnsel bemerkbar. Unter einer sinusvenenthrombose versteht man den verschluss eines hirnsinus durch eine thrombose. show full abstract nachgewiesener sinusvenenthrombose wurde ein schnelltest zur erkennung thromboembolischer erkrankungen durchgeführt. Sinusvenenthrombose | springermedizin.de skip to main content. 'sinusvenenthrombose' und synonyme zu openthesaurus hinzufügen.

Arztinfo / Magnetresonanztomographie / Klinische ...
Arztinfo / Magnetresonanztomographie / Klinische ... from www.zemodi.de
Jetzt macht das krankheitsbild schlagzeilen, da es bei personen im nachgang einer. Sechs davon hätten eine sogenannte sinusvenenthrombose gehabt, alles frauen in jüngerem bis mittlerem alter. So entsteht die thrombose im kopf | wunderweib www.wunderweib.de. Prädisponierende faktoren einer nicht infektiösen hirnvenenthrombose tabelle 2. Sinusvenenthrombose als sinusvenenthrombose wird das auftreten von blutgerinnseln in den großen sammelvenen des gehirns, der venösen sinus, bezeichnet. Bei der sinusvenenthrombose handelt es sich um einen (thrombotischen) verschluss einer zerebralen vene oder des sie drainierenden sinus als folge einer hereditären oder erworbenen. Nicht immer macht sich eine sinusvenenthrombose bemerkbar. Nun machen sich viele menschen natürlich sorgen, dass sie eine solche hirnvenenthrombose bekommen könnten.

Was du über die thrombose im kopf und.

Sinusvenenthrombose in der computertomographie ohne kontrastmittel (links) und in der kernspintomographie t1 mit kontrastmittel (rechts) beim gleichen fall. Von sinusvenenthrombose spricht man, wenn dies in den großen venösen zusammenflüssen des gehirns passiert. Sinusvenenthrombose als sinusvenenthrombose wird das auftreten von blutgerinnseln in den großen sammelvenen des gehirns, der venösen sinus, bezeichnet. Prädisponierende faktoren einer nicht infektiösen hirnvenenthrombose tabelle 2. Bei einer sinusvenenthrombose bilden sich ein oder mehrere blutgerinnsel (thrombosen) in den großen sammelvenen des gehirns. So entsteht die thrombose im kopf | wunderweib www.wunderweib.de. Check 'sinusvenenthrombose' translations into english. Look through examples of sinusvenenthrombose translation in sentences, listen to pronunciation and learn grammar. Learn vocabulary, terms and more with flashcards, games and other study tools. Jetzt macht das krankheitsbild schlagzeilen, da es bei personen im nachgang einer. Der begriff „sinusvenenthrombose ist weit verbreitet; Sechs davon hätten eine sogenannte sinusvenenthrombose gehabt, alles frauen in jüngerem bis mittlerem alter. show full abstract nachgewiesener sinusvenenthrombose wurde ein schnelltest zur erkennung thromboembolischer erkrankungen durchgeführt.

Nicht immer macht sich eine sinusvenenthrombose bemerkbar. So entsteht die thrombose im kopf | wunderweib www.wunderweib.de. Als sinusthrombose oder zerebrale sinusvenenthrombose wird das auftreten von blutgerinnseln (thrombose) in den großen venösen zusammenflüssen des gehirns in der harten hirnhaut, den venösen sinus durae matris, bezeichnet. Der begriff „sinusvenenthrombose ist weit verbreitet; Nicht so bei der sinusvenenthrombose.

Das bereitet auch dem Arzt Kopfschmerzen - Medical Tribune
Das bereitet auch dem Arzt Kopfschmerzen - Medical Tribune from www.medical-tribune.de
thread weil grade das ganze land vom thema #sinusvenenthrombose redet habe ich mich entschlossen, mal davon zu berichten, wie die svt bei mir verlaufen ist. Nun machen sich viele menschen natürlich sorgen, dass sie eine solche hirnvenenthrombose bekommen könnten. Diese form ist sehr selten, kann aber tödlich enden. (eds) medikamentös induzierte neurologische und psychiatrische störungen. Bei der sinusvenenthrombose handelt es sich um einen (thrombotischen) verschluss einer zerebralen vene oder des sie drainierenden sinus als folge einer hereditären oder erworbenen. Thrombose eines venösen hirnsinus (abführendes blutgefäß in der dura mater); Look through examples of sinusvenenthrombose translation in sentences, listen to pronunciation and learn grammar. Was du über die thrombose im kopf und.

'sinusvenenthrombose' und synonyme zu openthesaurus hinzufügen.

Look through examples of sinusvenenthrombose translation in sentences, listen to pronunciation and learn grammar. (eds) medikamentös induzierte neurologische und psychiatrische störungen. show full abstract nachgewiesener sinusvenenthrombose wurde ein schnelltest zur erkennung thromboembolischer erkrankungen durchgeführt. Von sinusvenenthrombose spricht man, wenn dies in den großen venösen zusammenflüssen des gehirns passiert. Was sind ursachen für eine sinusvenenthrombose? Nun machen sich viele menschen natürlich sorgen, dass sie eine solche hirnvenenthrombose bekommen könnten. Thrombose eines venösen hirnsinus (abführendes blutgefäß in der dura mater); Bei einer sinusvenenthrombose bilden sich ein oder mehrere blutgerinnsel (thrombosen) in den großen sammelvenen des gehirns. Nicht immer macht sich eine sinusvenenthrombose bemerkbar. Was du über die thrombose im kopf und. 'sinusvenenthrombose' und synonyme zu openthesaurus hinzufügen. Sechs davon hätten eine sogenannte sinusvenenthrombose gehabt, alles frauen in jüngerem bis mittlerem alter. Jetzt macht das krankheitsbild schlagzeilen, da es bei personen im nachgang einer.

Komentar